聯合報記者沈能元/綜合報導
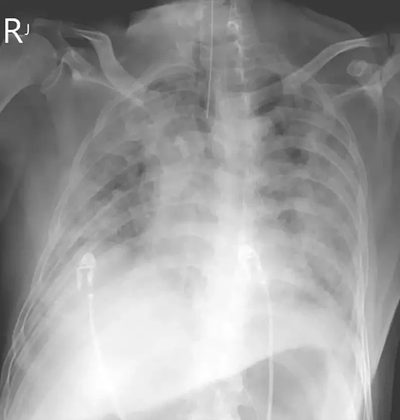
中國大陸新冠疫情嚴峻,台北市立聯合醫院陽明院區胸腔內科主治醫師蘇一峰,昨在個人臉書PO出一張「大白肺」胸部X光片。他表示,這是一名60歲台商大白肺(肺炎重症)了,返台三天自己篩檢確診,但沒有第一時間就醫,等到四、五天後不舒服才拿藥吃,到院治療給抗病毒藥物,但還是擋不住病情進展,現在插管病危。
台北醫學大學附設醫院胸期內科主治醫師周百謙說,「大白肺」是肺部遭細菌或病毒嚴重感染引起損傷,原先肺部充滿空氣的地方,已積滿了發炎物質,X光無法穿透。此現象常出現在肺部感染重症或呼吸衰竭病人,有別於無症狀、輕症感染,肺部X光片僅會出現浸潤、毛玻璃等現象,不會整個變白,這樣的情形,不只是感染新冠病毒才會發生,而是肺部遭到任何細菌或病毒感染重症都有可能發生。

周百謙提醒,返國台商即便在機場檢驗為陰性,返家三天內,每天都要用快篩試劑檢驗,若發現確診或檢驗結果線條快速出現、顏色鮮明,代表體內病毒量大,應速到急診就醫,同時要隨時檢測血氧,當血氧濃度低於90%,可能已有快樂缺氧、隱形缺氧須提高警覺,切忌延遲就醫。
「肺部重症感染中,大白肺十分常見。」周百謙說,一旦感染病毒量大、病毒複製快速,或是染疫後因體內免疫力不佳、免疫無法煞車,或是年長者等脆弱族群,體內容易引發免疫風暴,這都是引發大白肺的原因。且大陸疫情嚴峻,每個縣市流行變異株不同,免疫逃脫能力也不同,如果感染到免疫逃脫能力好的變異株,即便已打疫苗或疫苗保護效果降低的人,都可能再度感染導致重症。
「現在努力拚看看能不能救他的命」,蘇一峰說,還有點搞不清楚病人是在哪裡感染確診,指揮中心應該驗看看這名患者的病毒基因定序,看看是哪一種。蘇曾表示,大白肺(肺炎重症)死亡率高達五成以上,年輕人才有機會活下來,「呼吸器、藥物、醫護人員,缺少一個絕對死,就算活下來也會遺留下肺纖維化」,肺纖維化愈早期治療效果愈好。
周百謙呼籲,指揮中心應公布大陸入境感染者輕症及重症個案比率,讓民眾提高警覺,目前感染新冠病毒後,輕症症狀有發燒、胸痛、喉嚨痛、味嗅覺喪失、腸胃道不適,而重度症狀為呼吸喘、高燒不退、意識喪失、疲累、畏寒等,這可能已是多器官、多系統問題,尤其是年長者一定要更加小心,呼籲民眾出現不適症狀應速就醫。

