聯合報記者趙容萱/台中報導
62歲上班族男子連續四年做胸部X光檢查,都未發現異常,他聽說低劑量肺部電腦斷層可以發現早期肺癌,因有長年抽菸習慣而「試試看」,沒想到竟然在右上肺葉找到一顆1.5公分的腫瘤,確診罹患肺癌。
澄清醫院柏忕健康管理中心醫學影像科醫師洪盈盈說明,胸部X光敏感度有所限制,有時候1.5公分的腫瘤也不一定看得到。
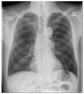
醫師洪盈盈說明,62歲上班族男子接受胸部X光檢查,未顯示肺癌。圖/洪盈盈提供

這名上班族表示,他從2016年開始,每年定期做一般健康檢查,因為有抽菸的關係,都會加選胸部X光,皆無異常發現。在2018年時,因為公司有健檢補助,於是自費做了肺部電腦斷層,發現了因為長年抽菸而產生的肺氣腫、局部纖維化、小結節和毛玻璃狀病灶。
這名上班族指出,醫師建議隔年要再用電腦斷層進行追蹤,但他隔年只用X光檢查,結果仍然是無異常發現,直到去年底,懷著試試看的心理做了肺部電腦斷層檢查時,原本局部纖維化的右上肺葉已長出一顆1.5公分的腫瘤,確診罹患肺癌,後轉到澄清醫院胸腔外科手術切除,術後狀況良好。
洪盈盈說明,低劑量肺部電腦斷層是目前醫界公認可以早期發現肺癌的篩檢工具。除了單次暴露輻射量較低之外,檢查時間短,可在一次的憋氣內(10到15秒)完成全肺臟的掃描,也大大的突破過去胸部X光篩檢敏感度不足的限制。
洪盈盈指出,一般民眾的迷思認為「定期胸部X光檢查,就可以發現早期肺癌」,事實上,「1公分以下的肺部腫瘤很難發現」。有時候,1.5公分的腫瘤也不一定看得到,此個案就是很典型的例子。因為很多肺癌早期生長時密度很低,呈現出來的毛玻璃影像看起來淡淡的,也有可能藏在胸椎、心臟、肋骨、橫膈膜或肝臟前後方,這些皆是X光影像的死角。

