聯合報記者楊德宜/台北報導
春節期間人潮流動,恐使疫情加劇。胸腔暨重症專科指導醫師蘇一峰在臉書表示,目前看起來,新冠COVID過年期間造成很多重症大白肺,「內科ICU有兩三成左右」。
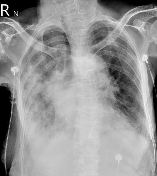
蘇一峰在臉書PO出一張患者「大白肺」X光片,他表示,比起來大肆宣傳的黴漿菌肺炎根本不可怕,重症大白肺還是以COVID為主,至於肺部X光片的患者努力好幾天,「目前看起來是救回來了」。

疾病管制署9日表示,目前國內流感及COVID-19等呼吸道疾病疫情仍處流行高峰,且冬季為呼吸道傳染病好發季節,春節期間強烈大陸冷氣團影響,須防範低溫衝擊,日夜溫差大,應注意保暖,提醒民眾於假期期間,出席聚會或聚餐等場合,建議佩戴口罩,落實個人衛生防護措施,並留意自身健康狀況,如身體不適,應在家休息,以阻斷病毒傳播風險。
疾管署說,春節期間各縣市衛生局公布呼吸道傳染病特別門診醫院共計156家,規畫開設約1155診次(含347診次兒科特別門診) ,並陸續公布相關就醫資訊於衛生局網站,供民眾做查詢。如有症狀需就醫時,請優先選擇就近診所或醫院門診,避免湧入急診。
疾管署監測資料顯示,今年自1月以來,多種呼吸道病原體同時於社區中活動,類流感及COVID-19疫情現呈上升趨勢或處流行期,依據往年經驗,急診類流感就診人次於農曆春節期間將達高峰,提醒民眾若自身或親友為65歲以上長者、具慢性病史等高危險群,應特別留意健康狀況,並請提高警覺如出現呼吸困難、急促、發紺(缺氧)等危險徵兆,盡速就醫,並配合醫師指示服藥,以降低併發重症的風險。

