聯合報 記者胡蓬生/綜合報導
苗栗縣60歲王姓男子平日不菸不酒,但體檢時發現「胎兒蛋白」數值高於標準值,到醫院進一步檢查發現他的肝臟有顆大於7公分的腫瘤,醫師詢問病史,他不知自身是B型肝炎帶原者,病患在醫師的建議下接受第一次肝臟局部栓塞治療,讓腫瘤縮小,再搭配B型肝炎治療,目前控制穩定,胎兒蛋白指數也明顯下降,在門診定期追蹤治療。
大千綜合醫院肝膽腸胃科醫師趙俊欽表示,根據衛福部統計,因肝癌死亡的患者中,約70%為B型肝炎帶原者、20%為慢性C型肝炎感染者,B、C肝炎病患有20%會進展成肝硬化,每年有3至5%會有肝癌風險,也就是所謂的肝癌三部曲「肝炎─肝硬化─肝癌」。
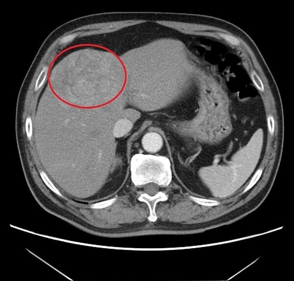
王姓病患因指數異常進一步檢查,發現一顆大於7公分的肝臟腫瘤(紅圈處)。圖/大千綜合醫院提供
肝臟沒有神經,因此一般人往往不知自己是B、C肝炎帶原者,加上慢性肝炎症狀並不明顯,通常都是進展至肝硬化後產生併發症,例如食道胃靜脈曲張出血、大量腹水、肝性腦病變(肝昏迷)等症狀,才意識到嚴重性。
肝硬化發生年齡高峰在54歲以後,建議民國55年以後出生且滿45歲者,可搭配成人預防保健服務接受B、C型肝炎檢查;如為民國54年以前出生的民眾,可依成人健檢進行GOT、GPT等肝功能檢查,當發現肝功能異常時,可接受健保給付之必要的病毒肝炎檢驗,一旦確認為B、C肝炎帶原者、合乎治療計畫者,可進行病毒藥物治療。
趙俊欽建議B、C肝炎帶原者一定要定期就醫接受肝功能、超音波、胎兒蛋白等檢查,符合健保B、C肝炎治療條件者應遵從醫師指示接受治療,才能有效阻斷肝癌三部曲的發生。

